
A team of chemists at McGill University, working with a colleague from Charité-Universitätsmedizin, in Germany, has uncovered part of the process used by mussels to bind to rocks and to quickly release from them when conditions warrant.
In their project, reported in the journal Science, the group studied the interface between mussel tissue and the bundle of filaments that mussels use to anchor themselves to rocks and other objects. Guoqing Pan and Bin Li, with Jiangsu University and Soochow University, both in China, have published a Perspective article in the same journal issue outlining the work done by the team on this new effort.
Mussels are bivalve mollusks that live in both fresh and saltwater environments. They have hinged shells that are joined by a ligament. Muscles ensure a tight seal when the shell is closed. Mussels use byssus threads (known commonly as a beard) to attach themselves to solid objects such as rocks.
The mussel byssus has been extensively studied due to their unique ability to connect nonliving material (the filaments that make up the threads) to living tissue and to disconnect on demand. But, as Pan and Li note, most of this research has revolved around possible chemical binding mechanisms. In this new effort, the research team focused instead on the dynamics of the bio-interface.
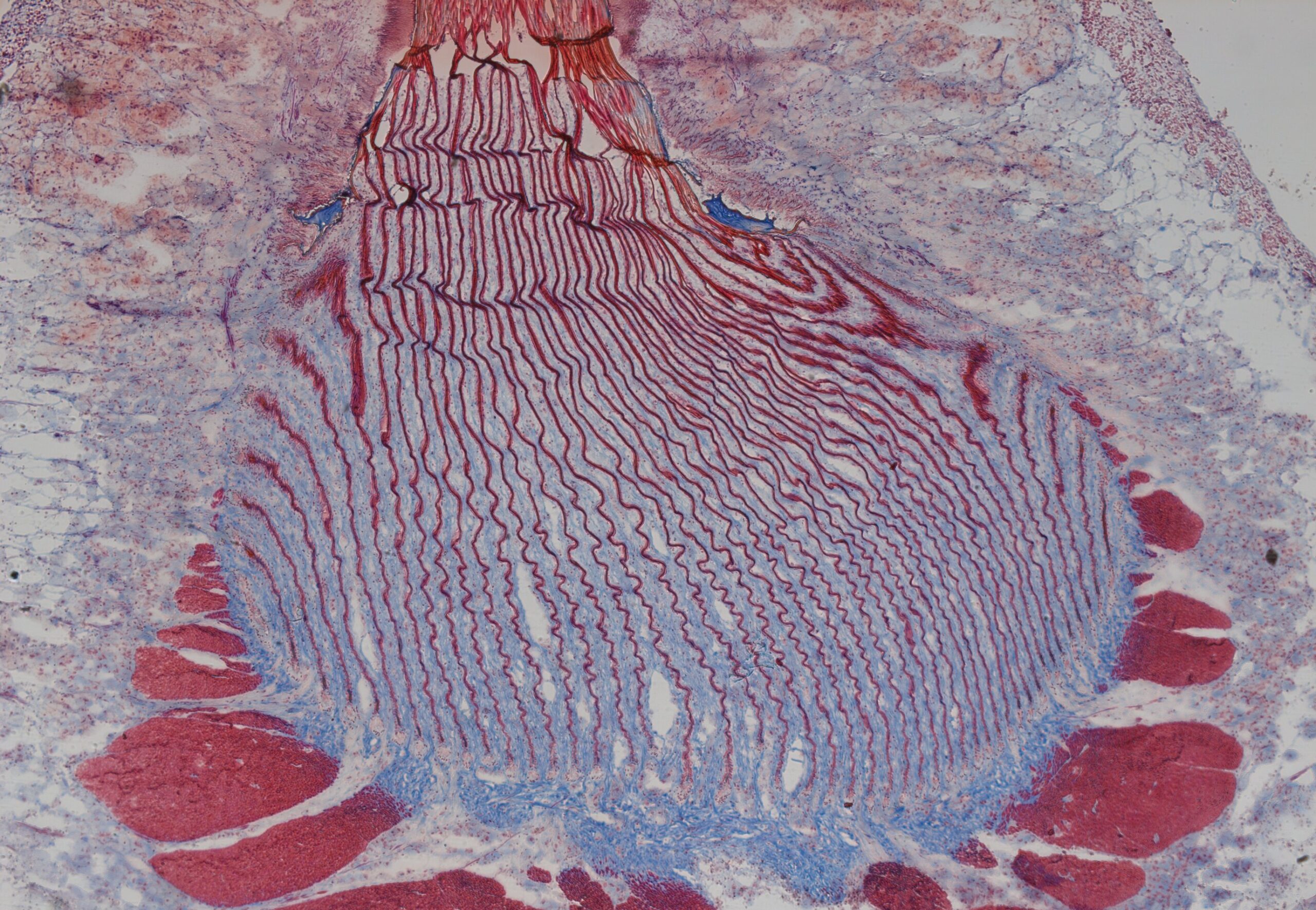
To better understand how the byssus threads connect to living tissue and how they can be jettisoned if needed, the research team used a variety of technologies to study the threads and the tissue to which they connect. By using several types of imaging along with spectroscopy, the team observed that the ends of the threads interlocked with layers of living tissue, which themselves were covered with approximately 6 billion motile cilia.

They further found that having so many cilia translated to a high degree of surface contact, which allowed for mechanically meshing two disparate materials. The researchers also noted that cilia oscillations helped to both strengthen the grip between the two materials and to allow for rapid release when it was needed. They found that cilia movement was driven by neurotransmitters, which, the researchers theorize, suggests that they are ultimately controlled by serotonin and dopamine.
More information:
Jenaes Sivasundarampillai et al, A strong quick-release biointerface in mussels mediated by serotonergic cilia-based adhesion, Science (2023). DOI: 10.1126/science.adi7401
Guoqing Pan et al, A dynamic biointerface controls mussel adhesion, Science (2023). DOI: 10.1126/science.adl2002
© 2023 Science X Network
Citation:
Dynamic bio-interface between mussel tissue and byssus plays important role in quick release (2023, November 25)
retrieved 25 November 2023
from https://phys.org/news/2023-11-dynamic-bio-interface-mussel-tissue-byssus.html
This document is subject to copyright. Apart from any fair dealing for the purpose of private study or research, no
part may be reproduced without the written permission. The content is provided for information purposes only.


